
Napredna implantologija i estetska protetika uz moderan 3D plan zahvata.
Zakažite besplatne konzultacije i saznajte koje je rješenje idealno za vas – od pojedinačnog implantata do All-on-4 fiksnih zuba u jednom danu.
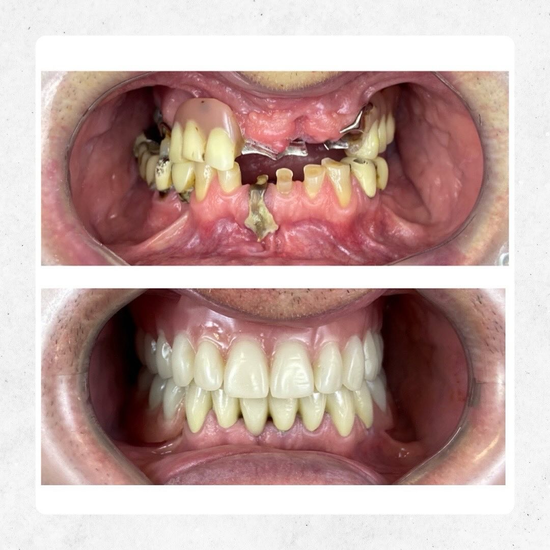
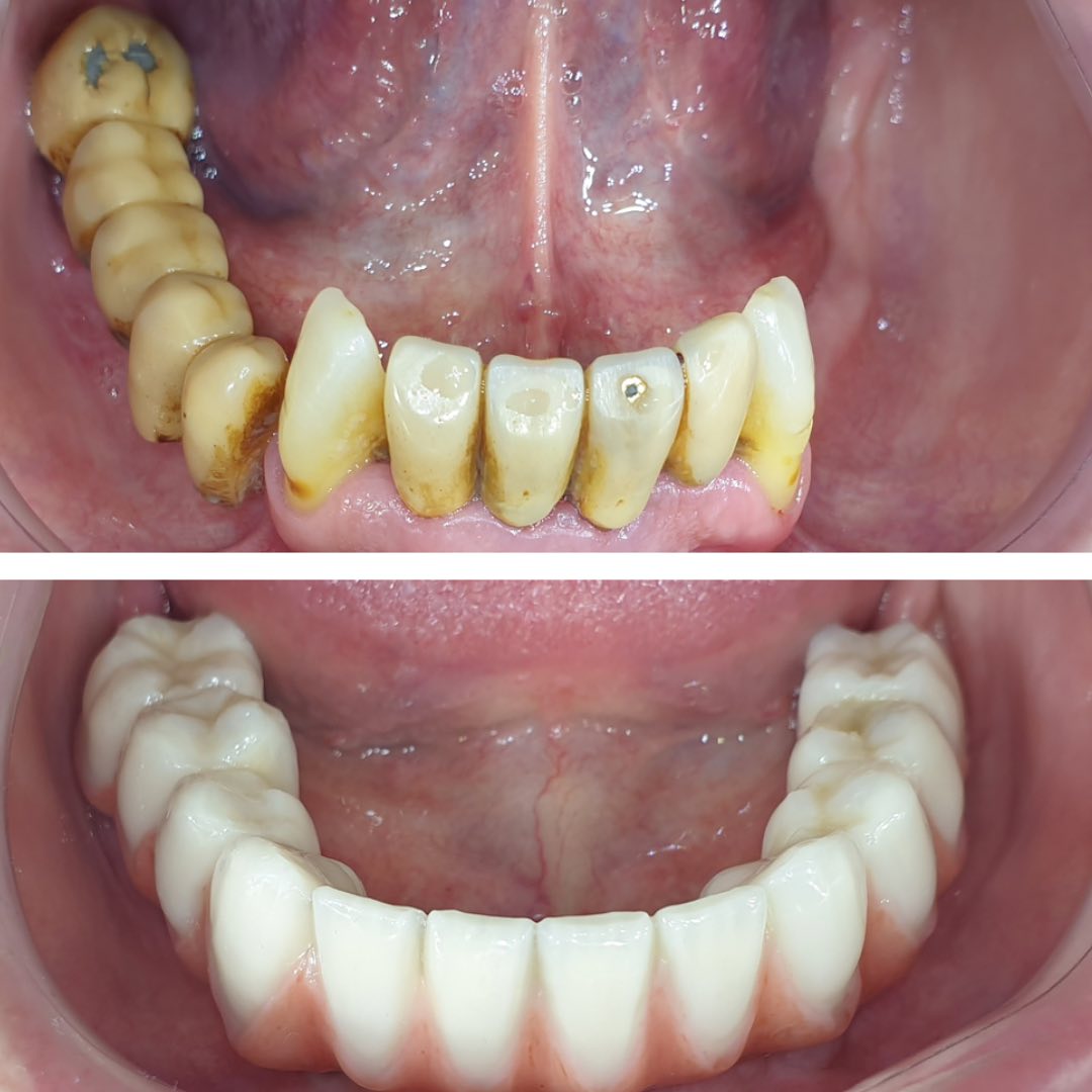
U Navident centru dentalne medicine u Velikoj Gorici rješavamo implantološke slučajeve svih razina složenosti – od nadomještanja jednog zuba do fiksnih All-on-4/All-on-6 rješenja kod potpunog gubitka zubi i kompleksnih rehabilitacija.
Pod vodstvom dr. Maje Mateša, svaki zahvat planiramo prema vašem
zdravlju, funkciji žvakanja i prirodnom izgledu osmijeha, uz digitalnu dijagnostiku i preciznu 3D vizualizaciju.
Digitalno planiranje i vizualizacija osmijeha prije zahvata
Dokazane implantološke tehnike za dugoročnu stabilnost
Stručni i iskusni tim, te moderna dijagnostička oprema

Nema univerzalnih rješenja za implantate. Svaki osmijeh zahtijeva vlastiti plan, vođen iskustvom, znanjem i najnaprednijom dijagnostičkom tehnologijom.
Ponuda vrijedi do

Za pojedinačne zube ili mostove na implantatima kada nedostaje više zubi u nizu.

Kada izgubimo sve zube zbog parodontitisa ili opsežnog karijesa. Rješenja bez lijepljenja i pomicanja proteze.

Nadoknađujemo nedostatak zuba, popravljamo esetiku, mijenjamo dotrajale krunice i mostove za vrhunsku funkciju i estetiku.
Ispunite upitnik i dobit ćete jasne informacije za vaš slučaj gubitka zuba — bez nagađanja, već na temelju stručne procjene i digitalnog planiranja.
Svaki implantološki slučaj je jedinstven — nekome nedostaje jedan zub, nekome je potrebna rekonstrukcija čeljusti, a svaka situacija zahtijeva drugačiji terapijski plan.
Nema “šablona” u implantologiji — od jednog implantata do All-on-4/All-on-6 fiksnih rješenja, terapiju prilagođavamo anatomiji, zdravlju i željenom funkcijskom i estetskom rezultatu.





Ispuni upitnik i saznaj je li Navident pravo rješenje za tvoje implantate — jasno, iskreno i bez nagađanja.